Сравнение снимков: как ИИ видит изменения в динамике

В медицине важны не только отдельные снимки, но и то, как меняется картина со временем. Иногда один и тот же орган выглядит «почти так же», но внутри уже запускается процесс, который через недели или месяцы даст выраженные симптомы. Именно поэтому сравнение снимков в динамике стало одним из самых сильных направлений, где искусственный интеллект показывает реальную пользу. ИИ умеет находить небольшие отличия между исследованиями, фиксировать тенденции и подсказывать врачу, на что обратить внимание раньше, чем изменения станут очевидными.
Когда пациент наблюдается регулярно, появляются серии снимков за разные даты. Это могут быть КТ, МРТ, рентген, УЗИ, маммография или другие исследования. ИИ помогает сопоставлять такие данные точнее, быстрее и стабильнее, чем ручной анализ, особенно если разница минимальна.
В результате врач получает не просто «картинку», а более понятную историю изменений, где можно отследить динамику, скорость роста или уменьшения очага и даже реакцию на лечение.
Почему динамика важнее одиночного снимка
Один снимок часто показывает лишь «момент времени», а медицина работает с процессами. Воспаление, опухоль, фиброз, отёк или осложнения после операции могут развиваться постепенно, и именно динамика позволяет увидеть, куда движется состояние пациента. Врач оценивает не только форму и плотность, но и то, что изменилось относительно предыдущего исследования. ИИ усиливает этот подход, делая сравнение более объективным и системным.
Человеческий глаз отлично распознаёт грубые изменения, но хуже замечает небольшие сдвиги в плотности тканей, контуре очага или границе инфильтрации. Особенно это заметно, когда снимки сделаны в разное время на разных аппаратах, с разными настройками или в разном положении пациента. ИИ умеет «нормализовать» изображение и привести его к сопоставимому виду, чтобы анализ был честным. Благодаря этому врач видит изменения не в стиле «кажется стало больше», а ближе к фактам.
Динамическое сравнение также важно для правильной тактики лечения. Если очаг уменьшается, можно подтвердить эффективность терапии и избежать лишних вмешательств. Если изменения идут в другую сторону, врач получает сигнал пересмотреть схему раньше, чем ухудшение станет клинически явным. Поэтому ИИ в диагностике ценен не только точностью, но и тем, что помогает принимать решения быстрее.
Как ИИ сравнивает снимки разных дат и находит изменения
В основе работы ИИ лежит анализ изображений как набора данных, а не просто «картинок». Алгоритмы компьютерного зрения выделяют структуры, измеряют их параметры и сопоставляют их между исследованиями. Для этого используются методы выравнивания снимков, поиск соответствующих областей и расчёт различий по плотности, форме и объёму. Именно так ИИ может заметить то, что визуально выглядит почти одинаково.
Главная сила ИИ — количественная оценка. Там, где врач видит «чуть больше», алгоритм способен вычислить изменение объёма очага, площади поражения или плотности ткани. Это особенно важно при наблюдении опухолей, метастазов, узлов в лёгких, изменений в печени и других органах. Такой подход делает динамику более понятной, потому что она выражена цифрами и сравнением «до/после». А цифры легче контролировать, обсуждать и использовать в протоколах лечения.
Чтобы динамика была корректной, ИИ учитывает технические нюансы: различия в толщине среза, шум изображения, уровень контрастирования, артефакты. В современных системах применяются модели сегментации, которые «обводят» интересующую область, а затем сравнивают её между датами. Это позволяет не просто искать изменения в целом снимке, а анализировать конкретный очаг или орган. Врач при этом получает подсказку, где именно произошло изменение и насколько оно значимо.
Ниже приведён пример того, какие параметры чаще всего оценивает ИИ при сравнении снимков в динамике. Это помогает понять, почему такие системы особенно полезны в диагностике, когда требуется наблюдение со временем.
| Что сравнивает ИИ | Какой результат получает врач | Зачем это важно |
|---|---|---|
| Размер и объём очага | Чёткое измерение в мм и % изменения | Раннее выявление роста или регресса |
| Плотность тканей (КТ) | Изменение характеристик структуры | Отличие воспаления от других процессов |
| Контуры и форма | Сигнал о «неправильной» динамике | Подозрение на злокачественные признаки |
| Количество очагов | Фиксация новых изменений | Контроль прогрессирования заболевания |
| Симметрия и смещения | Подсказка по анатомическим сдвигам | Контроль осложнений и отёка |
Что именно изменилось, насколько это отличается от нормы и требует ли внимания уже сейчас. Важно, что ИИ не просто «находит», а помогает правильно сформулировать наблюдение и выделить главное. Это особенно ценно в ситуациях, когда динамика минимальна, но клинически значима.
Где ИИ особенно полезен в динамической диагностике
Самые яркие примеры пользы ИИ связаны с теми случаями, где изменения развиваются постепенно и могут быть пропущены на ранней стадии. В онкологии динамика критична: даже небольшое увеличение узла или появление нового очага меняет прогноз и тактику. ИИ помогает сравнить серию исследований и показать, что рост уже начался, даже если визуально он выглядит незначительным. Для пациента это означает шанс вмешаться раньше и избежать запущенного состояния.
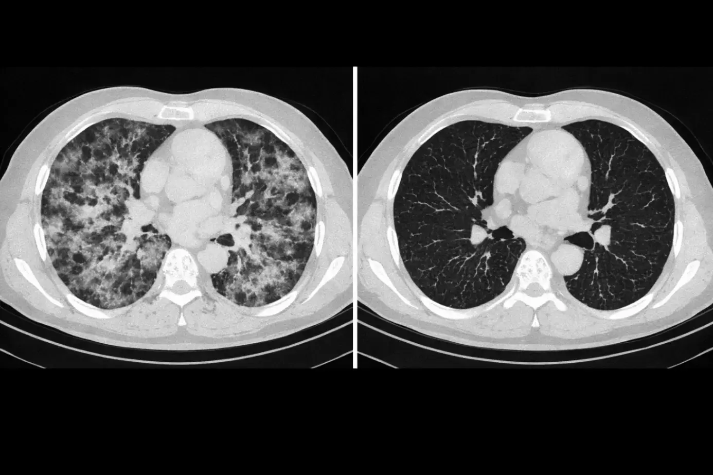
В пульмонологии динамика тоже играет огромную роль. Узлы в лёгких, поствоспалительные изменения, фиброз, осложнения после инфекций — всё это может развиваться незаметно. ИИ умеет сравнивать КТ лёгких по датам и выделять зоны, которые увеличились или изменили плотность. Это даёт врачу более уверенную основу для наблюдения и снижает риск «пропустить» проблему в самом начале.
Особенно полезен ИИ и в нейровизуализации, когда нужно отслеживать изменения в мозге после инсульта, травмы или при подозрении на опухолевый процесс. Динамика может выражаться не только в размере, но и в структуре ткани, границах поражения, степени отёка. ИИ помогает фиксировать тенденцию, даже если снимки сделаны с разницей в несколько недель. Это делает контроль состояния более точным и помогает оценивать эффект терапии.
Чтобы было понятнее, где динамическое сравнение снимков с ИИ даёт максимальный результат, ниже перечислены самые частые сценарии применения:
- контроль роста узлов и новообразований на КТ и МРТ;
- поиск новых очагов и метастатических изменений при наблюдении;
- оценка динамики воспаления и осложнений после инфекций;
- сравнение послеоперационных снимков для контроля восстановления;
- мониторинг эффективности терапии и ранняя коррекция лечения;
После такого анализа врач получает не просто отметку «изменения есть», а более понятную карту динамики. ИИ помогает выделить зоны риска и ускоряет принятие решений, особенно когда важно действовать быстро. В результате повышается точность наблюдения и снижается вероятность позднего обнаружения ухудшений.
Раннее выявление изменений: как ИИ замечает то, что легко пропустить

В реальной диагностике многие изменения начинаются с мелких деталей. Это может быть тонкое уплотнение ткани, едва заметное расширение границы очага или слабое изменение плотности на КТ. Для человека такие отличия часто выглядят как «вариант нормы», особенно если пациент не жалуется. ИИ способен увидеть закономерность, потому что он анализирует не только визуально, но и статистически, сравнивая параметры между датами.
Важно понимать, что ИИ не «угадывает», а выделяет измеряемые различия. Если система видит, что очаг стал больше на несколько миллиметров или изменился его контур, она фиксирует это как потенциально значимый сигнал. При этом врач решает, является ли это клинически важным изменением или допустимой вариацией. Такой подход делает диагностику аккуратнее, потому что появляется дополнительная проверка. Особенно полезно это при длительном наблюдении, когда сравнивать десятки исследований вручную тяжело.
Ещё одна сильная сторона ИИ — стабильность оценки. Человек может по-разному интерпретировать снимок в зависимости от опыта и условий работы, а алгоритм анализирует по одинаковым правилам. Это помогает снижать разницу между интерпретациями и повышает воспроизводимость результатов. В динамике это критично, потому что пациенту важно видеть последовательную оценку изменений. ИИ помогает сделать наблюдение более «ровным» и понятным.
Также ИИ может подсвечивать зоны, которые не были главной целью исследования. Например, пациент проходил КТ по одной причине, а небольшие изменения в другом участке могли остаться без внимания. Динамическое сравнение помогает не терять такие детали, потому что система сравнивает снимки целиком. Это усиливает диагностическую ценность каждого исследования и делает наблюдение более полным.
Ограничения и ошибки: почему ИИ не заменяет врача
Несмотря на преимущества, ИИ в динамике не является абсолютной истиной. Снимки могут отличаться по качеству, аппаратам, протоколам исследования и даже дыханию пациента в момент сканирования. Иногда это создаёт ложные отличия, которые выглядят как изменение, хотя на самом деле это технический эффект. Поэтому результаты ИИ всегда должны проверяться специалистом, который понимает клинический контекст.
Ошибки могут возникать и из-за артефактов: движение, металл в организме, неправильное позиционирование. В таких случаях алгоритм может выделить «изменение», которое на деле связано с шумом изображения. Также есть ситуации, когда изменения слишком сложные для автоматического анализа, например смешанные процессы или редкие патологии. Тогда ИИ может недооценить риск или наоборот выделить слишком много подозрительных зон. Именно поэтому роль врача остаётся ключевой.
Ещё один момент — интерпретация динамики зависит от симптомов и анализов. Даже если ИИ показывает рост очага, врач должен учитывать клинику, историю болезни, лабораторные показатели и лечение. Бывает, что изменение на снимке не требует немедленных действий, а бывает наоборот — минимальная динамика становится тревожной на фоне плохих симптомов. ИИ не видит пациента целиком, он работает только с изображением. Поэтому его задача — подсказать, а не решать.
Правильный подход — использовать ИИ как инструмент усиления диагностики. Он помогает ускорить работу, снизить риск пропуска и сделать динамику более измеряемой. Но окончательный вывод формируется врачом, который объединяет все данные. Когда ИИ и специалист работают вместе, точность наблюдения становится выше, а решения — более своевременными и обоснованными.
Как подготовиться к наблюдению со временем и получить пользу от ИИ
Чтобы сравнение снимков в динамике было максимально точным, важно соблюдать последовательность. Лучше проходить исследования по похожему протоколу, на одинаковом типе аппарата и с одинаковыми настройками, если это возможно. Тогда ИИ проще сопоставляет данные, а врач получает более чистую динамику. При сильных различиях между исследованиями часть изменений может быть технической, и это усложняет анализ.
Пациенту важно хранить результаты исследований и приносить их на повторные приёмы. Даже если клиника делает снимки сама, доступ к предыдущим данным ускоряет работу и улучшает качество сравнения. ИИ особенно эффективен, когда есть серия исследований, а не один «до» и один «после». Чем больше точек во времени, тем легче увидеть тенденцию и скорость изменений. Это делает диагностику более прогнозируемой и помогает оценивать риски.
В итоге сравнение снимков в динамике — это не просто удобство, а важный элемент современной диагностики. ИИ делает наблюдение точнее, быстрее и помогает заметить изменения раньше, чем они станут очевидными. Это особенно важно в ситуациях, где ранняя реакция влияет на исход лечения. Чем лучше организовано наблюдение со временем, тем больше пользы дают технологии искусственного интеллекта.