Анализы в динамике: как ИИ видит риски заранее
В медицине долгое время считалось, что главное — получить «нормальные» цифры в анализах и успокоиться. Но реальная диагностика работает иначе: организм меняется…
Читать далее
В медицине долгое время считалось, что главное — получить «нормальные» цифры в анализах и успокоиться. Но реальная диагностика работает иначе: организм меняется…
Читать далее
ЭКГ часто воспринимают как «честный» и объективный тест, который мгновенно показывает, есть ли проблема с сердцем. Но в реальности даже правильная запись…
Читать далее
Редкие нарушения ритма — одна из самых сложных задач для диагностики. Они могут проявляться не каждый день, а иногда «вспыхивают» на считанные…
Читать далее
Электрокардиограмма давно перестала быть «картинкой для кардиолога». Сегодня ЭКГ всё чаще становится цифровым сигналом, который можно быстро обработать, сравнить с тысячами похожих…
Читать далее
В медицине важны не только отдельные снимки, но и то, как меняется картина со временем. Иногда один и тот же орган выглядит…
Читать далее
Медицинские снимки — это один из главных источников информации для врача, когда нужно быстро понять, что происходит внутри организма. Но даже качественное…
Читать далее
ИИ в диагностике на основе КТ и МРТ всё чаще становится тем инструментом, который помогает врачу увидеть то, что человеческий глаз может…
Читать далее
Сепсис — это состояние, при котором организм реагирует на инфекцию слишком агрессивно, и из-за этого начинают страдать жизненно важные органы. Самая большая…
Читать далее
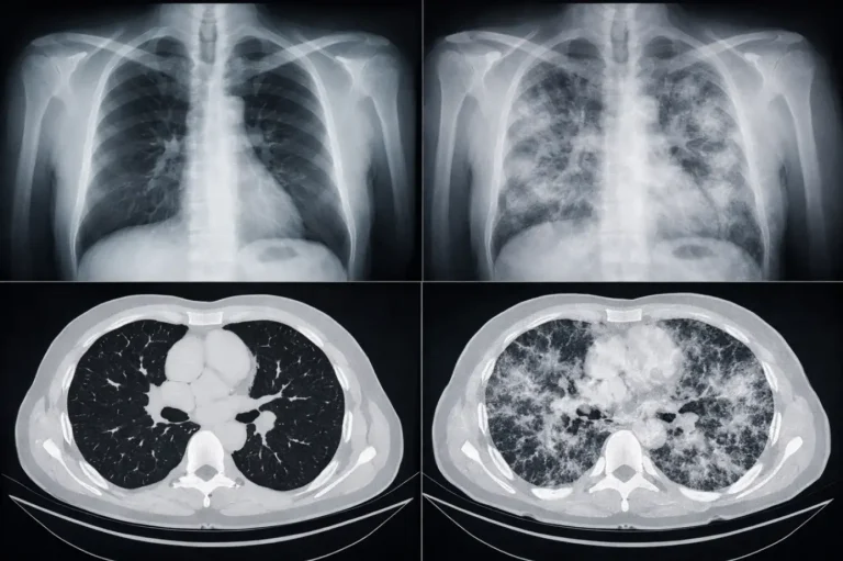
Туберкулёз остаётся заболеванием, которое важно выявлять как можно раньше, особенно у людей из групп риска и при длительных симптомах со стороны дыхательной…
Читать далее
Пневмония остаётся одной из самых частых причин ухудшения дыхания и обращения к врачу, особенно в сезоны простуд и вирусных вспышек. Главная сложность…
Читать далее